Multiplex tissue image of the month - NES in kidney
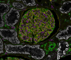
Multiplex tissue image of the month - NES in kidneyThe intermediate filament protein nestin (gene: NES) is highlighted in kidney through multiplex immunohistochemistry (mIHC/IF). The glomeruli are the main filtration units of the kidney and are composed of tufts of capillaries formed from endothelial cells and podocytes. Utilizing the mIHC/IF kidney panel, nestin (NES) - a cytoskeleton-associated intermediate filament protein - is localized (green) to the cytoplasm of glomerular endothelial cells (magenta) and podocytes (yellow). Other visualized kidney structures include proximal tubular cells (white). For more details about the mIHC/IF technique visit our method page. |