Multiplex tissue image of the month - AQP3 in kidney
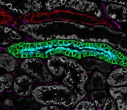
Multiplex tissue image of the month - AQP3 in kidneyThe difference in spatial distributions of two aquaporin proteins in the cells of collecting ducts in the kidney is illuminated through multiplex immunohistochemistry (mIHC/IF). The high contrast visualization of multiple proteins through mIHC/IF makes it possible to distinguish subtle differences in localization between two proteins at the subcellular level. One example is the distribution of aquaporin 2 and 3 in the kidney. These two channel proteins are responsible for water reabsorption in the collecting ducts of the kidney. Aquaporin 2 (AQP2; teal) - utilized as the marker protein for collecting ducts in the mIHC/IF panel for kidney - is localized at the apical part of the cell membrane towards the lumen of the collecting duct to guide the water inside the cell, while AQP3 (green) is distributed along the basolateral part of the cell membrane to shuttle the water further to the interstitial compartment and back into circulation. Other visualized kidney structures include proximal (gray) and distal (red) tubules as well as endothelia (purple). For more details about the mIHC/IF technique visit our method page. |