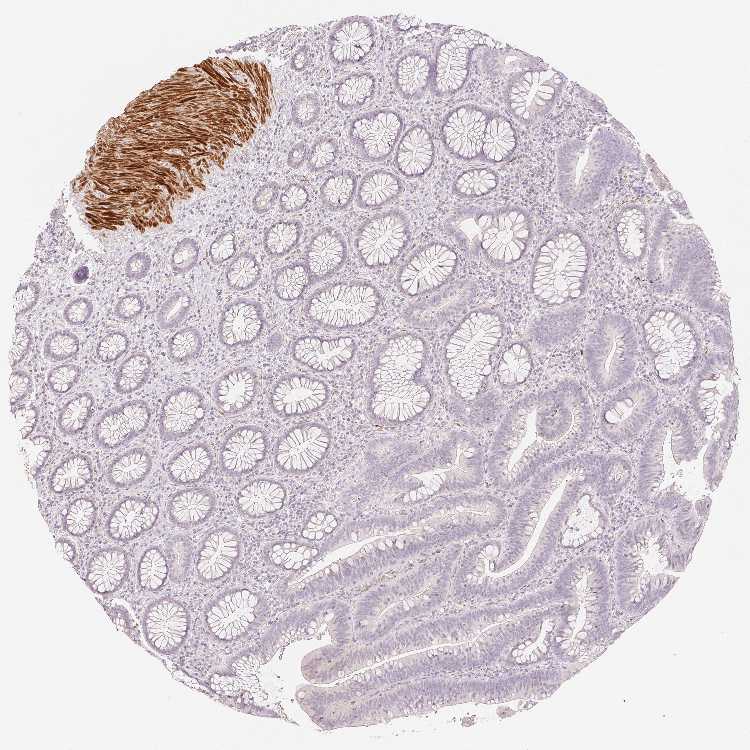
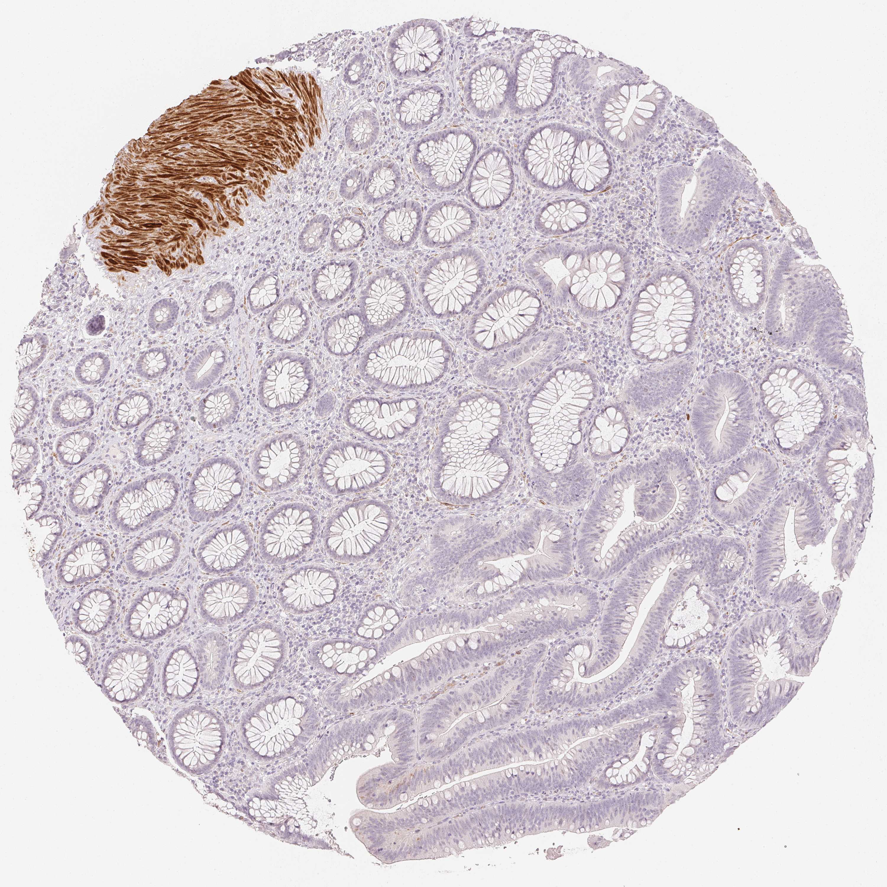
SMTN