We use cookies to enhance the usability of our website. If you continue, we'll assume that you are happy to receive all cookies. More information. Don't show this again.
OVARIAN CANCER - Interactive survival scatter ploti
The Survival Scatter plot shows the clinical status (i.e. dead or alive) for all individuals in the patient cohort, based on the same data that underlies the corresponding Kaplan-Meier plots. Patients that are alive at last time for follow-up are shown in blue and patients who have died during the study are shown in red.
The x-axis shows the expression levels (FPKM) of the investigated gene in the tumor tissue at the time of diagnosis. The y-axis shows the follow-up time after diagnosis (years). Both axes are complimented with kernel density curves demonstrating the data density over the axes. The top density plot shows the expression levels (FPKM) distribution among dead (red) and alive patients (blue). The right density plot shows the data density of the survived years of dead patients with high and low expression levels respectively, stratified using the cutoff indicated by the vertical dashed line through the Survival Scatter plot. This cutoff is automatically defined based on the FPKM cutoff that minimizes the p-score. The cutoff can be changed by dragging the vertical line or by entering a cutoff value in the square labeled "Current cut-off".
Under the Survival Scatter plot the p-score landscape (black curve; left axis) is shown together with dead median separation (red curve; right axis). Dead median separation is the difference in median mRNA expression between patients who have died with high and low expression, respectively. It is calculated as follows: median FPKM expression of dead patients with high expression - median FPKM expression of dead patients with low expression. This is intended to aid the user in visually exploring custom cutoffs and the associated p-scores and dead median separation.
Individual patient data is displayed and can be filtered by clicking on one or more of the category buttons on the top of the page. Categories describing expression level and patient information include: high, low, alive, dead, female, male and tumor stages. The scale of the x-axis can be toggled between linear and log-scale by clicking on the "x log" button. Mouse-over function shows TCGA ID, patient information and mRNA expression (FPKM) for each patient.
& Survival analysisi
Kaplan-Meier plots summarize results from analysis of correlation between mRNA expression level and patient survival. Patients were divided based on level of expression into one of the two groups "low" (under cut off) or "high" (over cut off). X-axis shows time for survival (years) and y-axis shows the probability of survival, where 1.0 corresponds to 100 percent.
Current cut-off shows the cut-off (FPKM) currently selected. It may be changed manually. When the current cut-off is changed, the vertical dashed line indicating cut-off, the interactive survival scatter plot and the Kaplan-Meier curve will be automatically adjusted to show results accordingly.
: Best expression cut offi
Based on the FPKM value of each gene, patients were classified into two groups and association between prognosis (survival) and gene expression (FPKM) was examined. The best expression cut-off refers the FPKM value that yields maximal difference with regard to survival between the two groups at the lowest log-rank P-value. Best expression cut-off was selected based on survival analysis .
When clicking on this number, the vertical dashed line indicating cut-off, the interactive survival plot, and the Kaplan-Meier curve will be adjusted to show results based on the best expression cut-off.
Median expression refers to the median FPKM value calculated based on the gene expression (FPKM) data from all patients in this dataset. When clicking on this number, the vertical dashed line indicating cut-off, the interactive survival plot, and the Kaplan-Meier curve will be adjusted to show results based on the median expression.
Median follow up time refers to the median time (years) after diagnosis with this type of cancer, based on clinical data from all patients in this dataset.
: N/A P scorei
Log-rank P value for Kaplan-Meier plot showing results from analysis of correlation between mRNA expression level and patient survival.
N/A 5-year survival highi
5-year survival for patients with higher expression than the expression cutoff.
For melanoma and glioma, 3-year survival is shown.
N/A 5-year survival lowi
5-year survival for patients with lower expression than the expression cutoff.
For melanoma and glioma, 3-year survival is shown.
N/A
TCGA RNA samplesi
RNA-seq data is reported as median FPKM (number Fragments Per Kilobase of exon per Million reads), generated by the The Cancer Genome Atlas (TCGA) .
Normal distribution across the dataset is visualized with box plots, shown as median and 25th and 75th percentiles. Points are displayed as outliers if they are above or below 1.5 times the interquartile range. FPKM values of the individual samples are presented next to the box plot.
Average FPKM
13.3
Number of samples
373
Samples
Sample
Description
FPKM
TCGA-04-1364-01A
61 years, female, white, dead, 1024 days
55.8
TCGA-25-1316-01A
55 years, female, white, dead, 1279 days
39.7
TCGA-59-2363-01A
female, asian, alive, 165 days
36.2
TCGA-24-1474-01A
57 years, female, black or african american, dead, 676 days
33.2
TCGA-13-1492-01A
66 years, female, white, dead, 3819 days
33.0
TCGA-10-0938-01A
80 years, female, white, dead, 636 days
32.8
TCGA-23-1024-01A
52 years, female, white, alive, 468 days
28.7
TCGA-13-1497-01A
48 years, female, white, alive, 3871 days
28.4
TCGA-04-1655-01A
49 years, female, white, dead, 1380 days
26.8
TCGA-25-1627-01A
73 years, female, white, dead, 394 days
26.0
TCGA-13-1488-01A
59 years, female, white, dead, 2154 days
25.5
TCGA-24-1430-01A
68 years, female, white, dead, 863 days
25.4
TCGA-59-A5PD-01A
55 years, female, black or african american, dead, 624 days
25.0
TCGA-04-1347-01A
81 years, female, white, alive, 1919 days
24.3
TCGA-04-1356-01A
62 years, female, white, dead, 1499 days
24.2
TCGA-25-1628-01A
67 years, female, white, dead, 627 days
24.2
TCGA-13-0724-01A
72 years, female, white, dead, 83 days
24.1
TCGA-29-1703-01A
56 years, female, black or african american, dead, 1815 days
23.8
TCGA-04-1514-01A
45 years, female, white, dead, 1720 days
23.7
TCGA-23-1109-01A
63 years, female, white, dead, 1562 days
23.3
TCGA-13-0727-01A
71 years, female, white, dead, 462 days
23.2
TCGA-29-1695-01A
62 years, female, white, dead, 1229 days
23.2
TCGA-04-1331-01A
79 years, female, white, dead, 1336 days
23.0
TCGA-61-1900-01A
51 years, female, black or african american, alive, 176 days
23.0
TCGA-13-0885-01A
70 years, female, white, alive, 3388 days
22.4
TCGA-24-1846-01A
45 years, female, alive, 133 days
21.9
TCGA-24-1469-01A
71 years, female, white, alive, 277 days
21.9
TCGA-09-2053-01C
72 years, female, white, alive, 1209 days
21.9
TCGA-24-2033-01A
87 years, female, white, dead, 562 days
21.7
TCGA-24-1544-01A
71 years, female, black or african american, dead, 820 days
21.5
TCGA-23-1123-01A
59 years, female, white, dead, 1018 days
21.4
TCGA-24-1464-01A
70 years, female, white, dead, 379 days
21.2
TCGA-61-2098-01A
62 years, female, white, alive, 1993 days
21.1
TCGA-24-2020-01A
67 years, female, white, dead, 4624 days
20.9
TCGA-23-1110-01A
42 years, female, white, alive, 1658 days
20.7
TCGA-61-2102-01A
74 years, female, white, dead, 197 days
20.6
TCGA-25-1317-01A
66 years, female, white, dead, 61 days
20.6
TCGA-23-1809-01A
63 years, female, white, alive, 16 days
20.6
TCGA-30-1718-01A
44 years, female, white, dead, 1579 days
20.4
TCGA-57-1586-01A
66 years, female, white, alive, 679 days
20.4
TCGA-23-2078-01A
66 years, female, white, alive, 2661 days
20.3
TCGA-09-0369-01A
56 years, female, white, dead, 1082 days
20.0
TCGA-09-1665-01B
74 years, female, white, dead, 1266 days
20.0
TCGA-24-1423-01A
61 years, female, white, alive, 190 days
20.0
TCGA-5X-AA5U-01A
61 years, female, black or african american, alive, 361 days
19.6
TCGA-24-1557-01A
49 years, female, white, dead, 1213 days
19.5
TCGA-24-1424-01A
67 years, female, white, alive, 183 days
19.4
TCGA-29-1778-01A
77 years, female, white, alive, 454 days
19.4
TCGA-25-1320-01A
65 years, female, white, dead, 1155 days
19.3
TCGA-23-1118-01A
45 years, female, white, alive, 2616 days
19.1
TCGA-31-1951-01A
58 years, female, white, alive, 684 days
18.9
TCGA-57-1582-01A
female, white, dead, 731 days
18.8
TCGA-29-1691-01A
51 years, female, white, dead, 1470 days
18.7
TCGA-13-0920-01A
65 years, female, white, dead, 1484 days
18.7
TCGA-61-1918-01A
45 years, female, white, dead, 479 days
18.6
TCGA-23-1120-01A
60 years, female, white, alive, 130 days
18.5
TCGA-24-2027-01A
51 years, female, white, dead, 3337 days
18.5
TCGA-24-2026-01A
79 years, female, white, dead, 1059 days
18.3
TCGA-24-1467-01A
51 years, female, white, dead, 3224 days
18.3
TCGA-24-1549-01A
58 years, female, white, dead, 1721 days
18.3
TCGA-25-2396-01A
71 years, female, white, dead, 92 days
18.2
TCGA-13-1506-01A
45 years, female, white, dead, 1039 days
18.1
TCGA-24-2254-01A
66 years, female, white, dead, 1736 days
18.1
TCGA-13-0906-01A
50 years, female, white, alive, 3619 days
18.1
TCGA-61-1995-01A
43 years, female, white, alive, 61 days
18.1
TCGA-36-1574-01A
48 years, female, asian, alive, 686 days
17.8
TCGA-04-1542-01A
52 years, female, white, dead, 2561 days
17.6
TCGA-10-0933-01A
77 years, female, white, dead, 446 days
17.4
TCGA-59-2355-01A
female, white, dead, 65 days
17.3
TCGA-59-2350-01A
female, dead, 679 days
17.3
TCGA-04-1519-01A
48 years, female, alive, 24 days
17.2
TCGA-09-1670-01A
57 years, female, white, alive, 547 days
17.2
TCGA-31-1950-01A
76 years, female, white, alive, 571 days
17.2
TCGA-61-2009-01A
65 years, female, white, alive, 1212 days
17.1
TCGA-13-0800-01A
52 years, female, white, alive, 2661 days
17.1
TCGA-57-1585-01A
57 years, female, white, dead, 53 days
17.1
TCGA-29-1697-01A
62 years, female, white, dead, 949 days
17.0
TCGA-61-1911-01A
55 years, female, white, alive, 1293 days
17.0
TCGA-24-1567-01A
54 years, female, white, dead, 524 days
17.0
TCGA-36-1576-01A
76 years, female, alive, 915 days
16.9
TCGA-23-1122-01A
53 years, female, white, dead, 1189 days
16.9
TCGA-23-1114-01B
55 years, female, white, dead, 2089 days
16.9
TCGA-25-2391-01A
57 years, female, white, dead, 1492 days
16.7
TCGA-OY-A56Q-01A
78 years, female, black or african american, alive, 576 days
16.7
TCGA-25-1632-01A
68 years, female, white, dead, 1799 days
16.6
TCGA-13-A5FT-01A
67 years, female, black or african american, alive, 2143 days
16.5
TCGA-13-1404-01A
48 years, female, white, alive, 2469 days
16.3
TCGA-04-1365-01A
87 years, female, white, alive, 2329 days
16.3
TCGA-29-2425-01A
60 years, female, white, alive, 1977 days
16.3
TCGA-25-2404-01A
38 years, female, american indian or alaska native, dead, 883 days
16.2
TCGA-13-1499-01A
56 years, female, white, alive, 3500 days
16.2
TCGA-13-1483-01A
61 years, female, white, dead, 895 days
16.2
TCGA-09-1669-01A
54 years, female, white, alive, 928 days
16.2
TCGA-29-1763-01A
43 years, female, black or african american, alive, 2032 days
16.2
TCGA-30-1714-01A
68 years, female, white, dead, 1158 days
16.2
TCGA-13-1512-01A
49 years, female, white, alive, 442 days
16.0
TCGA-36-1570-01A
49 years, female, white, alive, 655 days
15.9
TCGA-29-2414-01A
75 years, female, white, dead, 2621 days
15.9
TCGA-13-0884-01B
39 years, female, white, dead, 3260 days
15.9
TCGA-61-2000-01A
67 years, female, white, alive, 441 days
15.8
TCGA-13-0901-01B
42 years, female, asian, alive, 589 days
15.8
TCGA-24-2297-01A
56 years, female, white, dead, 1699 days
15.8
TCGA-09-2054-01A
58 years, female, black or african american, dead, 637 days
15.8
TCGA-09-1666-01A
57 years, female, white, alive, 1752 days
15.8
TCGA-13-1407-01A
51 years, female, white, alive, 2534 days
15.8
TCGA-13-0883-01A
61 years, female, white, dead, 2097 days
15.6
TCGA-25-2393-01A
81 years, female, white, dead, 1157 days
15.6
TCGA-09-1668-01B
57 years, female, white, alive, 1684 days
15.5
TCGA-13-1409-01A
73 years, female, white, dead, 1742 days
15.5
TCGA-25-1312-01A
69 years, female, white, dead, 31 days
15.5
TCGA-24-1844-01A
64 years, female, white, alive, 113 days
15.5
TCGA-61-2008-01A
40 years, female, asian, alive, 932 days
15.5
TCGA-36-1571-01A
53 years, female, white, dead, 695 days
15.4
TCGA-57-1583-01A
57 years, female, black or african american, dead, 346 days
15.4
TCGA-61-1733-01A
71 years, female, white, alive, 967 days
15.4
TCGA-23-1030-01A
64 years, female, white, alive, 886 days
15.4
TCGA-13-1505-01A
63 years, female, white, alive, 1998 days
15.4
TCGA-25-2399-01A
80 years, female, white, dead, 608 days
15.2
TCGA-09-1662-01A
58 years, female, white, dead, 2717 days
15.2
TCGA-24-1413-01A
51 years, female, white, alive, 192 days
15.2
TCGA-29-1688-01A
39 years, female, white, dead, 2400 days
15.1
TCGA-61-1736-01B
45 years, female, white, dead, 1484 days
15.1
TCGA-25-1877-01A
81 years, female, white, dead, 730 days
15.1
TCGA-25-1321-01A
65 years, female, white, dead, 1033 days
15.0
TCGA-13-1487-01A
74 years, female, white, dead, 681 days
14.9
TCGA-24-0982-01A
77 years, female, white, dead, 679 days
14.8
TCGA-29-A5NZ-01A
66 years, female, black or african american, dead, 1088 days
14.8
TCGA-23-1029-01B
46 years, female, white, alive, 268 days
14.7
TCGA-24-1422-01A
82 years, female, black or african american, dead, 23 days
14.7
TCGA-23-2084-01A
45 years, female, white, dead, 1516 days
14.7
TCGA-25-1323-01A
72 years, female, white, dead, 395 days
14.7
TCGA-25-2400-01A
76 years, female, white, dead, 1278 days
14.6
TCGA-61-1998-01A
48 years, female, white, alive, 168 days
14.6
TCGA-36-1568-01A
52 years, female, alive, 875 days
14.5
TCGA-13-1485-01A
48 years, female, white, dead, 629 days
14.5
TCGA-24-2261-01A
76 years, female, white, dead, 24 days
14.5
TCGA-29-1783-01A
58 years, female, white, alive, 220 days
14.5
TCGA-31-1944-01A
47 years, female, white, alive, 1386 days
14.4
TCGA-04-1341-01A
85 years, female, white, alive, 33 days
14.4
TCGA-13-0886-01A
67 years, female, white, alive, 4665 days
14.4
TCGA-61-1724-01A
47 years, female, white, dead, 637 days
14.4
TCGA-10-0936-01A
69 years, female, black or african american, dead, 1123 days
14.2
TCGA-61-2104-01A
53 years, female, white, alive, 2338 days
14.1
TCGA-24-1843-01A
67 years, female, white, alive, 106 days
14.1
TCGA-57-1993-01A
56 years, female, white, alive, 763 days
14.0
TCGA-24-1553-01A
53 years, female, white, dead, 1767 days
14.0
TCGA-09-2051-01A
42 years, female, white, alive, 1919 days
13.9
TCGA-61-2111-01A
61 years, female, white, alive, 3825 days
13.9
TCGA-29-1762-01A
59 years, female, white, dead, 2634 days
13.8
TCGA-13-0900-01B
59 years, female, white, alive, 4077 days
13.8
TCGA-10-0928-01A
71 years, female, white, dead, 563 days
13.8
TCGA-04-1361-01A
57 years, female, white, alive, 989 days
13.7
TCGA-29-2428-01A
58 years, female, white, alive, 1372 days
13.6
TCGA-59-2352-01A
female, white, dead, 286 days
13.6
TCGA-09-1659-01B
51 years, female, white, dead, 304 days
13.6
TCGA-25-1313-01A
62 years, female, white, dead, 820 days
13.5
TCGA-25-1631-01A
73 years, female, white, dead, 9 days
13.5
TCGA-59-2351-01A
female, white, alive, 3532 days
13.4
TCGA-25-1319-01A
73 years, female, white, dead, 1977 days
13.4
TCGA-24-1845-01A
42 years, female, white, alive, 116 days
13.4
TCGA-13-1510-01A
62 years, female, white, dead, 1359 days
13.4
TCGA-57-1994-01A
63 years, female, white, alive, 761 days
13.2
TCGA-25-1870-01A
59 years, female, white, dead, 455 days
13.2
TCGA-61-1919-01A
58 years, female, white, dead, 1161 days
13.1
TCGA-13-0762-01A
65 years, female, white, alive, 3400 days
13.1
TCGA-61-2113-01A
54 years, female, white, dead, 676 days
13.1
TCGA-36-1581-01A
63 years, female, white, alive, 751 days
13.0
TCGA-04-1350-01A
46 years, female, white, dead, 1946 days
13.0
TCGA-25-1623-01A
71 years, female, white, dead, 565 days
13.0
TCGA-61-2101-01A
55 years, female, white, dead, 1688 days
13.0
TCGA-24-2280-01A
74 years, female, white, alive, 2143 days
13.0
TCGA-13-1498-01A
73 years, female, white, dead, 2012 days
12.9
TCGA-29-1776-01A
63 years, female, black or african american, alive, 360 days
12.9
TCGA-25-1318-01A
54 years, female, white, dead, 1064 days
12.9
TCGA-24-2290-01A
56 years, female, white, dead, 1102 days
12.9
TCGA-30-1866-01A
61 years, female, white, dead, 1114 days
12.8
TCGA-24-2288-01A
70 years, female, white, dead, 25 days
12.8
TCGA-57-1584-01A
47 years, female, white, alive, 643 days
12.8
TCGA-31-1946-01A
30 years, female, alive, 918 days
12.7
TCGA-13-2060-01A
51 years, female, white, alive, 2369 days
12.6
TCGA-25-1634-01A
76 years, female, white, dead, 1091 days
12.6
TCGA-24-2281-01A
68 years, female, white, alive, 1357 days
12.4
TCGA-13-0923-01A
74 years, female, white, alive, 2547 days
12.4
TCGA-25-1315-01A
50 years, female, white, dead, 1583 days
12.3
TCGA-31-1959-01A
49 years, female, white, alive, 67 days
12.3
TCGA-24-1105-01A
36 years, female, white, dead, 1442 days
12.2
TCGA-23-1111-01A
63 years, female, white, alive, 98 days
12.2
TCGA-24-1923-01A
51 years, female, white, dead, 690 days
12.2
TCGA-25-1626-01A
65 years, female, white, dead, 518 days
12.2
TCGA-29-1770-01A
54 years, female, white, alive, 741 days
12.2
TCGA-31-1956-01A
60 years, female, white, alive, 1342 days
12.2
TCGA-13-1408-01A
59 years, female, white, dead, 1680 days
12.1
TCGA-29-1710-01A
54 years, female, white, dead, 951 days
12.1
TCGA-09-2048-01A
63 years, female, white, dead, 138 days
12.1
TCGA-24-1560-01A
51 years, female, white, dead, 1341 days
12.1
TCGA-29-1774-01A
82 years, female, white, alive, 527 days
12.1
TCGA-61-2002-01A
46 years, female, white, alive, 547 days
12.1
TCGA-25-1635-01A
71 years, female, white, dead, 1583 days
12.1
TCGA-29-1769-01A
40 years, female, white, alive, 699 days
12.1
TCGA-61-1728-01A
59 years, female, white, alive, 848 days
12.0
TCGA-04-1530-01A
68 years, female, white, dead, 3622 days
12.0
TCGA-36-1569-01A
52 years, female, white, alive, 885 days
11.9
TCGA-24-1842-01A
49 years, female, white, alive, 253 days
11.9
TCGA-25-2409-01A
71 years, female, white, dead, 821 days
11.9
TCGA-29-1784-01A
55 years, female, white, alive, 163 days
11.8
TCGA-24-2267-01A
58 years, female, white, dead, 1446 days
11.7
TCGA-10-0937-01A
44 years, female, white, dead, 608 days
11.7
TCGA-09-2045-01A
50 years, female, asian, dead, 1069 days
11.7
TCGA-24-1434-01A
59 years, female, white, dead, 568 days
11.7
TCGA-09-2056-01B
62 years, female, white, alive, 379 days
11.6
TCGA-23-1028-01A
43 years, female, white, alive, 1503 days
11.6
TCGA-24-1563-01A
66 years, female, black or african american, dead, 1451 days
11.5
TCGA-09-1673-01A
50 years, female, white, alive, 92 days
11.5
TCGA-04-1648-01A
57 years, female, white, dead, 871 days
11.5
TCGA-09-1661-01B
75 years, female, white, dead, 1169 days
11.5
TCGA-24-2024-01A
72 years, female, black or african american, dead, 1769 days
11.5
TCGA-13-1507-01A
77 years, female, white, dead, 1993 days
11.4
TCGA-29-1766-01A
74 years, female, white, dead, 1199 days
11.4
TCGA-61-2003-01A
53 years, female, white, alive, 122 days
11.4
TCGA-24-1558-01A
73 years, female, white, dead, 594 days
11.4
TCGA-24-2271-01A
55 years, female, asian, dead, 962 days
11.2
TCGA-24-1470-01A
54 years, female, white, alive, 105 days
11.2
TCGA-29-1705-01A
48 years, female, white, dead, 555 days
11.2
TCGA-24-1426-01A
43 years, female, white, alive, 163 days
11.2
TCGA-61-1741-01A
76 years, female, white, dead, 1024 days
11.1
TCGA-10-0931-01A
44 years, female, white, dead, 1000 days
11.0
TCGA-13-0725-01A
44 years, female, white, dead, 377 days
11.0
TCGA-25-2401-01A
64 years, female, white, dead, 90 days
11.0
TCGA-04-1651-01A
53 years, female, white, dead, 1102 days
11.0
TCGA-24-1552-01A
77 years, female, white, dead, 1259 days
10.9
TCGA-20-0991-01A
78 years, female, white, alive, 797 days
10.9
TCGA-24-1847-01A
45 years, female, white, alive, 343 days
10.8
TCGA-24-1562-01A
67 years, female, white, dead, 1384 days
10.8
TCGA-13-1403-01A
48 years, female, white, dead, 2345 days
10.7
TCGA-29-2427-01A
60 years, female, white, alive, 1900 days
10.7
TCGA-13-0797-01A
49 years, female, white, alive, 2121 days
10.7
TCGA-29-1768-01A
50 years, female, white, dead, 952 days
10.6
TCGA-23-2077-01A
45 years, female, white, alive, 3525 days
10.6
TCGA-61-2109-01A
40 years, female, white, dead, 629 days
10.5
TCGA-25-1322-01A
62 years, female, white, dead, 91 days
10.5
TCGA-13-0888-01A
78 years, female, white, dead, 2811 days
10.5
TCGA-24-0979-01A
53 years, female, white, dead, 1264 days
10.5
TCGA-24-2036-01A
50 years, female, white, dead, 1947 days
10.5
TCGA-24-1924-01A
65 years, female, white, dead, 919 days
10.4
TCGA-29-1694-01A
45 years, female, white, dead, 1187 days
10.4
TCGA-24-1565-01A
74 years, female, white, dead, 312 days
10.4
TCGA-13-0887-01A
42 years, female, white, dead, 2028 days
10.3
TCGA-13-0908-01B
58 years, female, white, dead, 1843 days
10.3
TCGA-29-1785-01A
55 years, female, white, dead, 1104 days
10.3
TCGA-24-0970-01B
63 years, female, white, dead, 354 days
10.3
TCGA-04-1362-01A
59 years, female, white, dead, 1348 days
10.2
TCGA-59-2354-01A
female, white, dead, 1046 days
10.2
TCGA-13-0924-01A
45 years, female, white, alive, 2614 days
10.2
TCGA-24-1471-01A
60 years, female, white, alive, 36 days
10.1
TCGA-25-1326-01A
61 years, female, white, dead, 1249 days
10.1
TCGA-24-1419-01A
62 years, female, white, alive, 239 days
10.1
TCGA-29-1701-01A
56 years, female, white, dead, 515 days
10.1
TCGA-36-1580-01A
82 years, female, dead, 737 days
10.1
TCGA-13-0766-01A
42 years, female, white, dead, 1725 days
10.0
TCGA-13-0897-01A
54 years, female, white, dead, 2182 days
10.0
TCGA-23-1026-01B
45 years, female, white, alive, 816 days
10.0
TCGA-24-1603-01A
53 years, female, white, dead, 2742 days
10.0
TCGA-24-1930-01A
53 years, female, white, dead, 2467 days
10.0
TCGA-24-1417-01A
54 years, female, white, alive, 238 days
9.9
TCGA-25-1633-01A
64 years, female, white, dead, 1891 days
9.9
TCGA-24-2262-01A
57 years, female, white, dead, 11 days
9.9
TCGA-13-0905-01B
51 years, female, white, alive, 3746 days
9.8
TCGA-09-0364-01A
80 years, female, white, dead, 887 days
9.8
TCGA-20-1683-01A
65 years, female, white, alive, 772 days
9.8
TCGA-61-2092-01A
57 years, female, white, alive, 1573 days
9.7
TCGA-24-1604-01A
67 years, female, white, dead, 2688 days
9.7
TCGA-30-1857-01A
64 years, female, white, dead, 8 days
9.6
TCGA-13-1501-01A
50 years, female, white, dead, 1314 days
9.6
TCGA-24-1416-01A
34 years, female, white, alive, 194 days
9.5
TCGA-24-1431-01A
67 years, female, white, dead, 567 days
9.5
TCGA-36-1577-01A
43 years, female, asian, alive, 783 days
9.5
TCGA-61-1725-01A
40 years, female, white, alive, 956 days
9.4
TCGA-30-1853-01A
58 years, female, white, dead, 1103 days
9.4
TCGA-61-2097-01A
71 years, female, white, alive, 1844 days
9.4
TCGA-13-1405-01A
49 years, female, white, dead, 868 days
9.4
TCGA-61-1737-01A
42 years, female, white, alive, 1364 days
9.3
TCGA-WR-A838-01A
72 years, female, black or african american, dead, 304 days
9.3
TCGA-04-1338-01A
78 years, female, white, alive, 1418 days
9.2
TCGA-30-1860-01A
58 years, female, white, dead, 1366 days
9.2
TCGA-24-1435-01A
57 years, female, white, dead, 1324 days
9.2
TCGA-30-1861-01A
74 years, female, white, dead, 1058 days
9.2
TCGA-24-1616-01A
56 years, female, white, dead, 1163 days
9.0
TCGA-24-1103-01A
50 years, female, black or african american, dead, 1646 days
9.0
TCGA-09-2044-01B
77 years, female, asian, alive, 186 days
9.0
TCGA-24-0966-01A
78 years, female, black or african american, alive, 232 days
9.0
TCGA-24-1428-01A
50 years, female, white, alive, 529 days
9.0
TCGA-23-1027-01A
48 years, female, white, dead, 976 days
8.9
TCGA-23-1021-01B
45 years, female, white, dead, 1446 days
8.9
TCGA-09-1667-01C
61 years, female, white, alive, 1882 days
8.9
TCGA-61-2110-01A
56 years, female, white, dead, 1354 days
8.8
TCGA-29-1696-01A
43 years, female, white, dead, 1032 days
8.8
TCGA-61-1910-01A
56 years, female, white, alive, 1127 days
8.8
TCGA-23-1107-01A
59 years, female, white, dead, 9 days
8.8
TCGA-25-2398-01A
71 years, female, white, dead, 1369 days
8.7
TCGA-13-1489-01A
70 years, female, white, dead, 2553 days
8.7
TCGA-30-1862-01A
65 years, female, white, dead, 186 days
8.7
TCGA-31-1953-01A
52 years, female, asian, alive, 204 days
8.6
TCGA-24-0968-01A
59 years, female, white, dead, 598 days
8.5
TCGA-13-0893-01B
48 years, female, black or african american, dead, 1319 days
8.5
TCGA-61-1914-01A
65 years, female, alive, 1722 days
8.5
TCGA-04-1343-01A
72 years, female, white, dead, 361 days
8.5
TCGA-24-2035-01A
65 years, female, white, dead, 857 days
8.4
TCGA-13-0768-01A
73 years, female, white, dead, 1784 days
8.4
TCGA-24-2298-01A
56 years, female, white, dead, 1620 days
8.4
TCGA-24-2289-01A
69 years, female, white, dead, 2049 days
8.3
TCGA-24-2023-01A
54 years, female, white, dead, 1364 days
8.2
TCGA-25-1630-01A
73 years, female, white, dead, 1162 days
8.2
TCGA-10-0927-01A
65 years, female, dead, 2490 days
8.2
TCGA-25-1328-01A
38 years, female, white, dead, 2009 days
8.1
TCGA-24-1850-01A
72 years, female, white, alive, 168 days
8.1
TCGA-61-1738-01A
60 years, female, black or african american, dead, 1089 days
8.1
TCGA-13-1477-01A
49 years, female, white, dead, 1662 days
8.0
TCGA-13-1495-01A
60 years, female, white, dead, 2749 days
8.0
TCGA-13-0726-01A
55 years, female, white, dead, 949 days
7.9
TCGA-23-1119-01A
64 years, female, white, alive, 3953 days
7.8
TCGA-61-2012-01A
81 years, female, white, alive, 932 days
7.8
TCGA-13-0795-01A
66 years, female, white, dead, 619 days
7.8
TCGA-24-1425-01A
45 years, female, white, alive, 181 days
7.7
TCGA-13-1411-01A
81 years, female, white, dead, 531 days
7.6
TCGA-24-2038-01A
68 years, female, white, dead, 1354 days
7.6
TCGA-23-1116-01A
83 years, female, white, dead, 592 days
7.5
TCGA-23-1113-01A
48 years, female, white, dead, 949 days
7.5
TCGA-20-1687-01A
46 years, female, white, alive, 81 days
7.5
TCGA-13-0916-01A
49 years, female, white, alive, 1785 days
7.4
TCGA-30-1892-01A
52 years, female, white, dead, 1484 days
7.3
TCGA-24-2293-01A
47 years, female, white, dead, 506 days
7.3
TCGA-13-0720-01A
48 years, female, white, dead, 1355 days
7.2
TCGA-25-2042-01A
60 years, female, american indian or alaska native, dead, 396 days
7.1
TCGA-13-1511-01A
52 years, female, asian, dead, 1650 days
7.1
TCGA-09-0366-01A
56 years, female, white, dead, 1757 days
7.1
TCGA-09-0367-01A
67 years, female, native hawaiian or other pacific islander, dead, 547 days
7.0
TCGA-59-2348-01A
female, white, alive, 5481 days
7.0
TCGA-23-1022-01A
67 years, female, white, dead, 1511 days
7.0
TCGA-24-1427-01A
58 years, female, alive, 147 days
6.9
TCGA-04-1332-01A
70 years, female, white, dead, 1247 days
6.8
TCGA-61-1907-01A
63 years, female, white, alive, 952 days
6.7
TCGA-13-1496-01A
65 years, female, white, dead, 129 days
6.7
TCGA-24-1546-01A
46 years, female, white, dead, 1955 days
6.7
TCGA-29-1693-01A
72 years, female, white, alive, 3096 days
6.6
TCGA-30-1891-01A
61 years, female, white, dead, 914 days
6.6
TCGA-23-1023-01A
65 years, female, white, alive, 1233 days
6.6
TCGA-24-1418-01A
68 years, female, white, alive, 243 days
6.6
TCGA-29-1781-01A
69 years, female, white, alive, 255 days
6.5
TCGA-20-1686-01A
75 years, female, white, alive, 89 days
6.5
TCGA-13-0714-01A
55 years, female, white, dead, 189 days
6.5
TCGA-13-0891-01A
73 years, female, white, dead, 3128 days
6.5
TCGA-29-1777-01A
47 years, female, white, alive, 374 days
6.5
TCGA-25-2392-01A
75 years, female, white, dead, 31 days
6.4
TCGA-29-1690-01A
66 years, female, white, dead, 1448 days
6.1
TCGA-13-0730-01A
71 years, female, white, dead, 542 days
6.1
TCGA-24-1550-01A
49 years, female, white, dead, 1249 days
6.0
TCGA-13-0911-01A
55 years, female, white, dead, 1355 days
6.0
TCGA-13-1509-01A
64 years, female, white, alive, 2438 days
6.0
TCGA-61-2088-01A
51 years, female, white, alive, 145 days
6.0
TCGA-24-1104-01A
56 years, female, white, dead, 1933 days
6.0
TCGA-13-0804-01A
74 years, female, white, dead, 1073 days
5.6
TCGA-20-0987-01A
61 years, female, white, dead, 701 days
5.6
TCGA-25-1329-01A
76 years, female, white, dead, 457 days
5.5
TCGA-24-1551-01A
53 years, female, white, dead, 1579 days
5.3
TCGA-20-1682-01A
56 years, female, white, alive, 837 days
4.9
TCGA-13-1410-01A
57 years, female, white, alive, 2464 days
4.8
TCGA-04-1536-01A
60 years, female, black or african american, dead, 885 days
4.6
TCGA-29-1711-01A
45 years, female, black or african american, alive, 1053 days
4.4
TCGA-24-1928-01A
77 years, female, white, dead, 336 days
3.8
TCGA-VG-A8LO-01A
55 years, female, black or african american, dead, 24 days
3.8
TCGA-61-1721-01A
38 years, female, white, alive, 338 days
3.7
TCGA-29-1761-01A
80 years, female, asian, dead, 528 days
3.7
TCGA-13-0765-01A
50 years, female, white, dead, 1389 days
3.4
Show allShow less
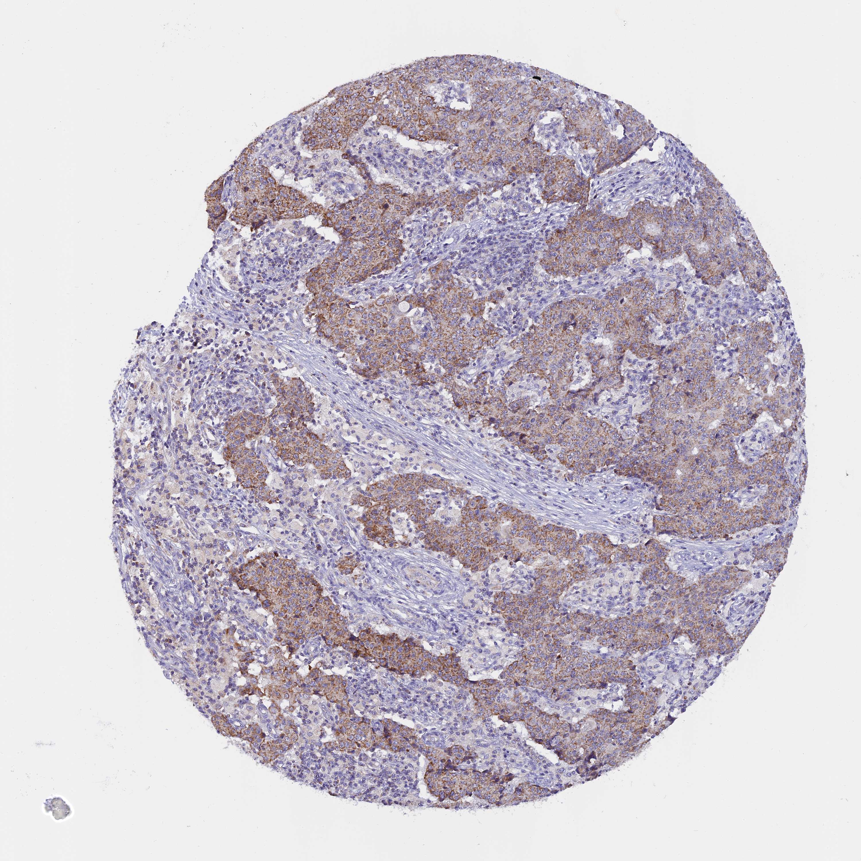
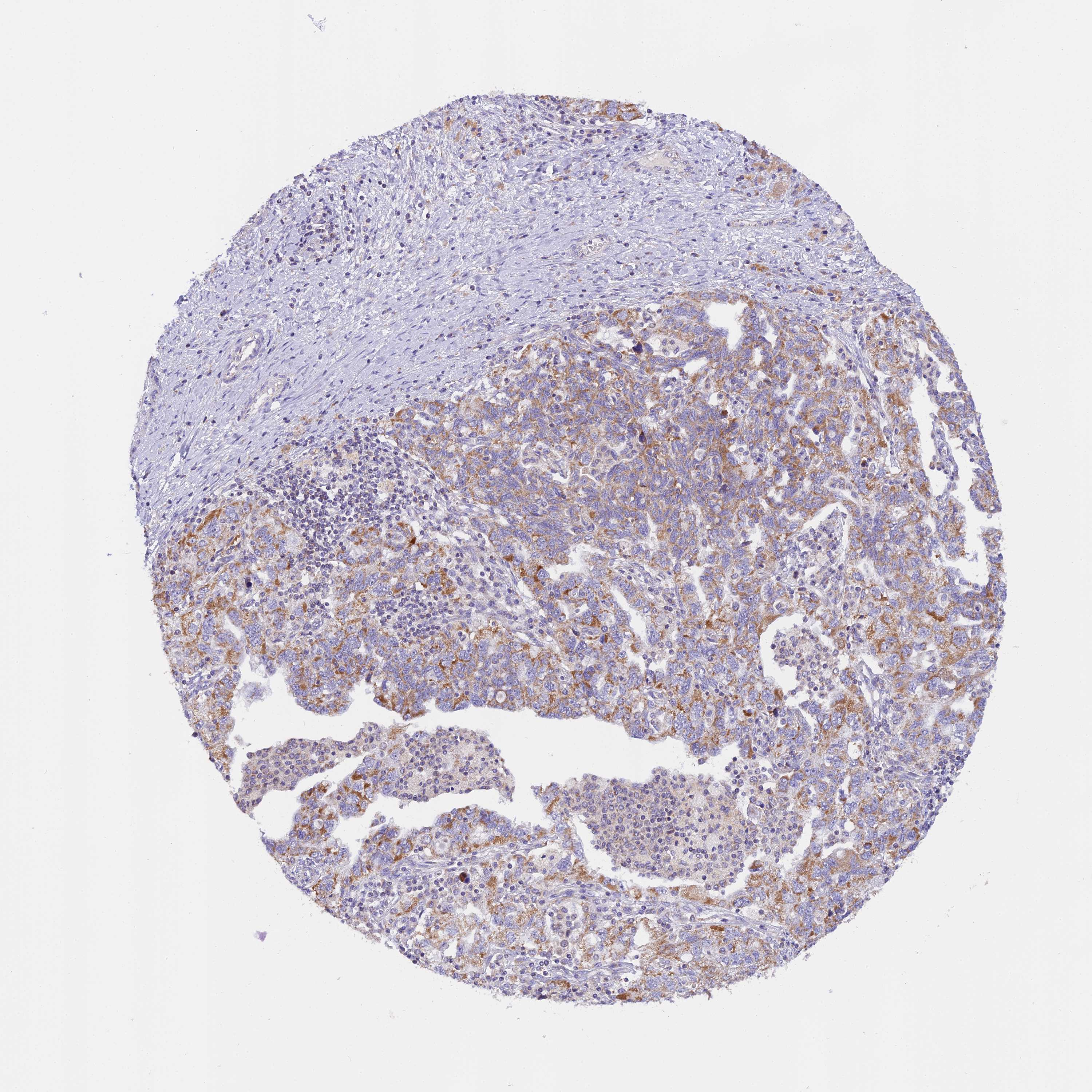
OVARIAN CANCER - Protein expressioni
A mouse-over function shows sample information and annotation data. Click on an image to view it in a full screen mode. Samples can be filtered based on level of antibody staining by selecting one or several of the following categories: high, medium, low and not detected. The assay and annotation is described here.
Note that samples used for immunohistochemistry by the Human Protein Atlas do not correspond to samples in the TCGA dataset.
Antibody stainingi
Antibody staining in the annotated cell types in the current human tissue is reported as not detected, low, medium, or high. This score is based on the staining intensity and fraction of stained cells.