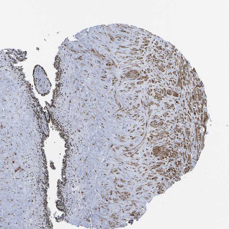
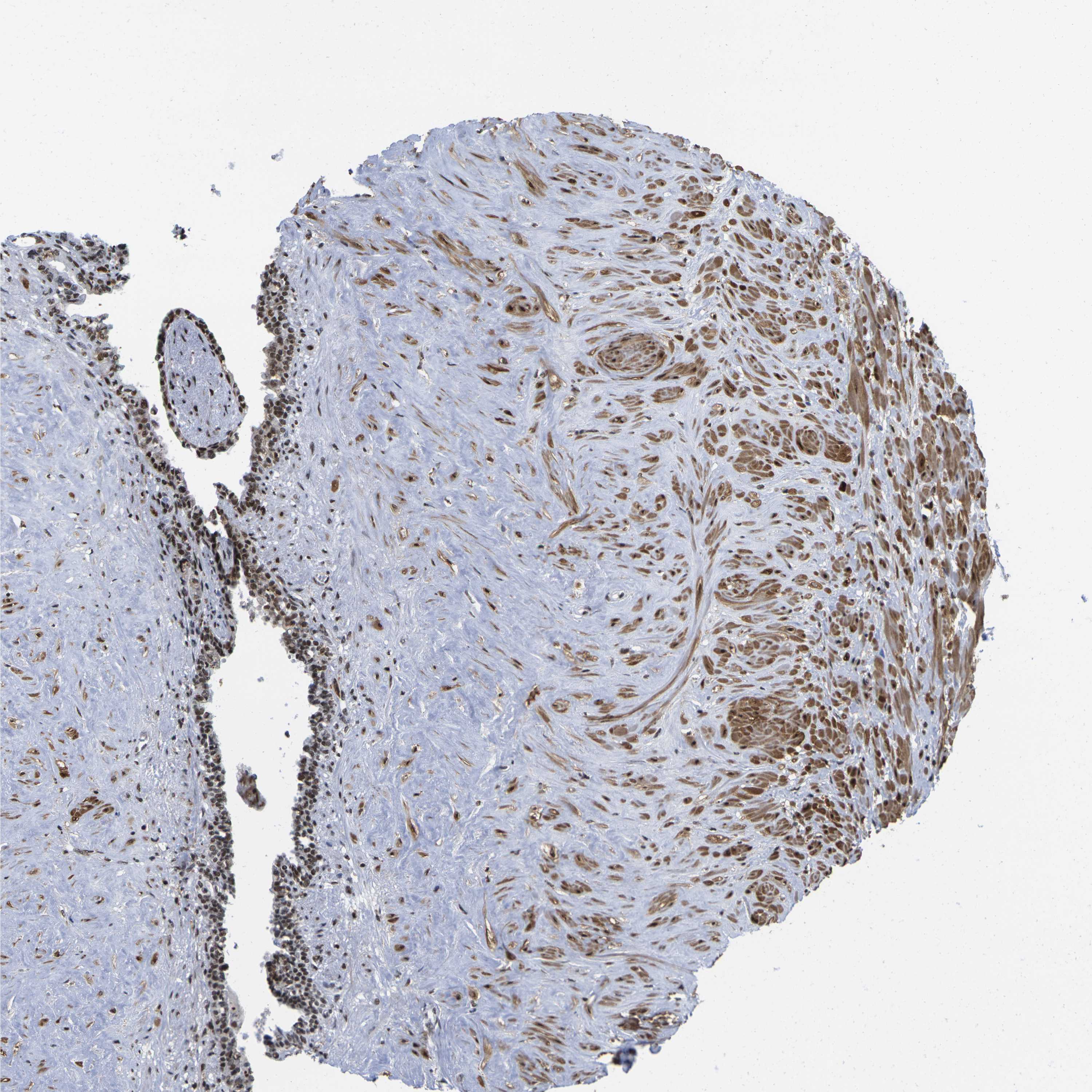
POLR2A